Composites injectés : l'esthétique à la portée de tous

Description de l'événement :

Début 20/01/2024

Fin 20/01/2024

Objectifs pédagogiques
• Améliorer la prévisibilité du résultat de vos restaurations esthétiques dans le secteur antérieur
• Gagner du temps dans les traitements de diastèmes multiples, de fractures étendues, d’altération de forme ou d’usure généralisée
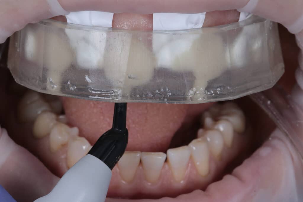
• Maîtriser la technique de restauration par injection de résines composites

Programme :

• Techniques conventionnelles de restauration des antérieures et défi de la prévisibilité de forme
• Planification diagnostique et réalisation du wax-up pour la technique d’injection / compression
• Injection avec des résines composites : step by step
• Finition, polissage, suivi et maintenance

70% de Travaux Pratiques :
• TP : Planification et confection du wax-up• Fabrication des guides transparents en silicone (12 – 22)
• TP : Restauration des dents 12, 11, 21 et 22 avec la technique de la résine injectée (facette en résine composite)
• TP : Finition et polissage des restaurations

Localisation :

9 avenue Henri Malacrida 13100 Aix en Provence