Parodontologie

santé dentaire femmes

La Fédération européenne de parodontologie publie un podcast sur l'importance de la santé dentaire et...

Maintenance parodontale

La maintenance est un soin complet et essentiel dans un cabinet dentaire. ...

parodontal

  L'EFP a notamment distingué le projet de la praticienne française Claire Bigot pour son...

micronutrition

Intérêt de l'optimisation du statut en oméga-3 dans la prise en charge des pathologies parodontales...

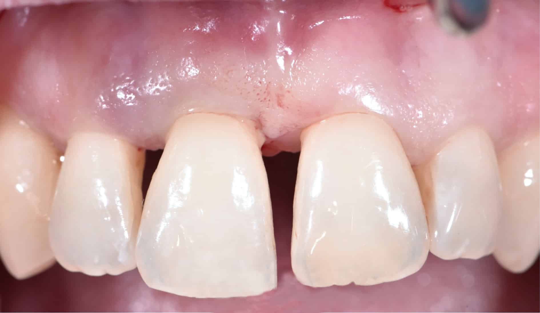
Récessions gingivales

Les matrices de collagène conviennent pour recouvrir les récessions des dents lorsqu'elles sont indiquées de...

parodontite

Détermination de la parodontite candidosique comme une nouvelle forme de la maladie parodontale, et prise...

greffe gingivale

L'utilisation du laser Erbium-Yag peut faciliter l'élimination de la muqueuse, des freins et des muscles...

Le tunnel est une technique facilement réalisable avec l'instrumentation adaptée et une bonne analyse de...

Présentation des dernières recherches nous éclairant sur l'implication de la maladie parodontale dans l'aggravation de...

Présentation d'un cas clinique de chirurgie plastique parodontale. Le succès de cette discipline exigeante dépend...

Les maintenances nous permettent de visualiser le résultat réel de notre traitement pour lequel nous...

Le protocole exact de traitement lasers assisté des parodontites et péri-implantites est défini étape après...

Principes et protocole d’une thérapeutique parodontale....

De nombreuses recherches médicales confirment l’utilité de ces protocoles lasers assistés dans le traitement des...

Un traitement approprié et une motivation approfondie sont nécessaires pour améliorer l'état de santé de...

Présentation d’un plan de traitement axé sur l’arrêt de l’évolution de la maladie, le gain...

Dans le cadre d’une thérapie parodontale non chirurgicale, l’utilisation de générateurs piézoélectriques avec systèmes de...

Le facteur génétique est une des causes des maladies parodontales. Plus une parodontite est agressive,...

Dans cette technique reconstructrice, l’os d’une aire adjacente au défaut est poussé en force, en...

Présentation d’un traitement parodontal décontaminant laser assisté maxillaire et mandibulaire. Conjointement une régénération des volumes...

L’utilisation d’un dispositif d’aéropolissage avec la poudre appropriée ouvre de nouveaux horizons dans la dentisterie...

L’aéropolissage permet de traiter efficacement et mini-invasivement les cas complexes de réhabilitation implantaire....

L’utilisation d’un laser diode 980 nm offre un résultat pérenne pour traiter les atteintes parodontales....

  L’aéropolissage est la procédure absolument indispensable dans un traitement de décontamination de la cavité...

  Les maladies parodontales sont en fait des blessures d’origine traumatique (traumas psychiques, occlusaux ou...

Vitamines, antibiotiques et probiotiques forment un arsenal complémentaire pour optimiser les résultats de guérison de...

Partenaires indispensables de l’orthodontie, la chirurgie et la parodontologie permettent de relever de nouveaux défis...

Drs Howard E. STRASSLER et Mark L. PITEL Cet outil d’appoint reconnu est principalement associé...

Pour conserver l’organe dentaire, il semble qu’il y ait quelques lacunes et les formations sur...

Votre patient saigne des gencives et a mauvaise haleine. Est-il atteint de parodontite ? Fort...

Ce qui est étonnant, c’est le rapport entre la certitude du traitement étiologique et la...

Les aides optiques en parodontie nous permettent de pratiquer des interventions de micro-chirurgie. Ce n'est...