Traiter efficacement les béances antérieures
La technique des gouttières thermoformées Invisalign permet un traitement efficient et discret des béances antérieures, pathologie fréquente estimée à 15% de la population.
Les béances antérieures peuvent être d’origine squelettique ou dentoalvéolaire. L’étiologie la plus fréquente a une origine fonctionnelle en rapport avec une dysfonction linguale, une ventilation mixte ou une succion digitale. Les béances antérieures correspondent à une pathologie fréquente estimée à environ 15 % de la population. Le traitement non chirurgical consiste généralement à faire égresser les dents antérieures, ou ingresser les dents postérieures, ou encore à associer les deux mouvements. Le traitement par la technique des gouttières thermoformées de marque Invisalign permet un traitement efficace et discret des béances antérieures.
Le système invisalign
C’est une série des gouttières thermoformées (aligneurs) amovibles et quasi invisibles, fabriquées sur mesure à partir d’un set up virtuel 3D. Les mêmes principes biomécaniques de l’orthodontie traditionnelle sont utilisés et fournissent un système de forces avancées conçues par un système d’algorithme. Le patient change ses aligneurs toutes les 2 semaines environ, des rendez-vous de contrôle sont prévus toutes les 6 à 8 semaines pour s’assurer que le traitement évolue conformément à la planification 3D.
Le traitement des béances avec ce système
- Le diagnostic étiologique des béances antérieures détermine le type de programmation à faire au niveau du Set up numérique [2] :
- • Dans le cas d’une infra-alvéolie incisive, des taquets d’égression de forme rectangulaire biseautée sont mis en place au niveau des faces vestibulaires des incisives ; (Fig.1a et 1b).
- • Dans le cas d’une béance incisive due à une supra-alvéolie molaire, une ingression postérieure sera programmée au niveau du set up. Elle est réalisée grâce à la double épaisseur des gouttières produisant une force d’ingression sur les dents postérieures. En cas d’ingression supérieure à 2 mm, l’utilisation d’un ancrage osseux par minivis est nécessaire.
- • Dans le cas d’une béance sévère avec hyperdivergence squelettique, la chirurgie orthognathique est la solution de choix [3].


Fig.1a et 1b : Exemple de taquets d’égression vestibulaire.
Cas clinique 1
Clara, 19 ans, est venue nous consulter pour améliorer son sourire. Ses dents se sont redéplacées après un traitement d’orthodontie qui s’est terminé il y a 3 ans.
L’examen exo-buccal met en évidence un sourire labial qui découvre très peu ses incisives supérieures, un profil convexe avec une rétroposition du menton ; (Fig.2a à 2c).
L’examen intra-buccal montre une dysharmonie dento-maxillaire avec absence de contact entre les incisives supérieures et inférieures ; (Fig.3). Au niveau fonctionnel, la patiente a une ventilation mixte et une déglutition infantile avec position basse de la langue au repos.
L’analyse céphalométrique de Delaire montre une classe II squelettique compensée par la vestibuloversion des incisives inférieures, normodivergente, abaissement de l’os hyoïde avec une position basse de la langue ; (Fig.4). Les germes des dents de sagesse sont présents sur la radiographie panoramique ; (Fig.5).
La stratégie thérapeutique de traitement
Si on prend en considération le sourire labial de la patiente et la dimension verticale plutôt équilibrée, l’égression des incisives supérieures est le traitement de choix ; (Fig.6a à 6c). L’expansion alvéolaire transversale permet d’améliorer le sourire, et de corriger la dysharmonie dento-maxillaire.



Le set up informatique et la simulation virtuelle
Une animation 3D permet de visualiser l’évolution du traitement étape par étape. La durée du traitement prévue est de 12 mois avec 24 aligneurs ; (Fig.7).

Résultat final à 12 mois : la béance et la DDM sont parfaitement corrigées ; (Fig.8a à 8e). Après le traitement, on peut noter un sourire équilibré et harmonieux de la patiente ; (Fig.9a à 9c).
Au niveau fonctionnel
Une rééducation fonctionnelle a été mise en place pour corriger la dysfonction linguale.
Au niveau contention
Des fils collés de canine à canine avec port de gouttières nocturnes sont proposés pour maintenir le résultat.
Cas clinique 2
Valérie, 55 ans, est venue consulter pour des raisons esthétiques (amélioration de son sourire). L’examen exo-buccal met en évidence un sourire étroit avec inversion de la ligne du sourire : profil droit, lèvre inférieure inversée ; (Fig.10a à 10c).
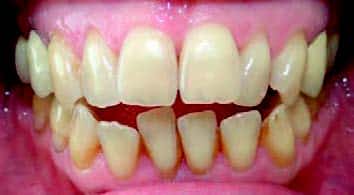
L’examen endo-buccal montre une béance antérieure, une dysharmonie dento maxillaire et une récession gingivale au niveau de la 41 ; (Fig.11a à 11e).
Sur la radiographie panoramique on peut noter la présence de couronnes sur le secteur 1 et 2, ce qui ne complique pas le traitement par aligneurs ; (Fig.12). L’analyse céphalométrique de Delaire ; (Fig.13) montre une classe II squelettique, biproalvéolie, une dimension verticale équilibrée, et un abaissement de l’os hyoïde avec une position basse de la langue. Sur la radiographie panoramique on peut noter la présence de couronnes sur le secteur 1 et 2, ce qui ne complique pas le traitement par aligneurs ; (Fig.12). L’analyse céphalométrique de Delaire ; (Fig.13) montre une classe II squelettique, biproalvéolie, une dimension verticale équilibrée, et un abaissement de l’os hyoïde avec une position basse de la langue.
La stratégie thérapeutique
Compte tenu de la présence d’une récession sur la 41 et les couronnes en secteur 1 et 2, seule une égression des dents supérieures a été planifiée. La vestibulo version des incisives inférieures a été maintenue pour la version des incisives. On peut noter également que la récession de la 41 n’a pas évolué ; (Fig.15a à 15e).
En fin de traitement, l’esthétique a été améliorée par rétablissement de la ligne du sourire et fermeture de la béance ; (Fig.16a et 16b).
Conclusion
Un diagnostic précis et un plan de traitement adapté sont indispensables pour la réussite du traitement par aligneurs comme pour tout traitement d’orthodontie. Les limites du traitement par aligneurs diminuent en même temps que la technique progresse : la majorité des malocclusions peut être prise en charge. Comme pour toute technique, afin d’obtenir un résultat satisfaisant, il est nécessaire d’acquérir une expérience et de respecter une courbe d’apprentissage. De plus, il est devenu aujourd’hui indispensable d’utiliser cet outil qui fait partie intégrante de l’orthodontie moderne [4].


































