La Revue d'ODF - N°56-4 : Jeunes auteurs
Ce numéro consacré aux travaux des étudiants en Orthodontie montre à quel point la jeunesse est pleine de ressources, travailleuse et talentueuse.
- 1. Évaluation de la précision des analyses céphalométriques automatisées et semi-automatisées sur téléradiographies de profil
- 2. Densité osseuse et radiographie panoramique : incidences orthodontiques
- 3. Autotransplantation d'une dent surnuméraire en place d'incisive géminée, une décision thérapeutique construite
- 4. Comparaison de la forme des arcades entre les différentes options thérapeutiques orthodontiques des agénésies des incisives latérales maxillaires
- 5. Impact et limites du recul molaire par l'utilisation d'ancrages osseux temporaires à la mandibule sur les germes des dents de sagesse : étude rétrospective tridimensionnelle
- 6. L'expansion maxillaire avec ancrage osseux chez l'adulte : description et cas clinique
- 7. Influence de différents paramètres sur le choix de la contention post traitement orthodontique au Liban - une enquête transversale
- 8. Note clinique: Apport de la réduction amélaire proximale à l'équilibre du sourire
- 9. Revue de Presse
Dans ce numéro de la Revue d’ODF :
Évaluation de la précision des analyses céphalométriques automatisées et semi-automatisées sur téléradiographies de profil

Figure 1 : interface du logiciel EzOrtho de Vatech, après traçage et calcul automatiques des mesures céphalométriques.
1 Université de Rennes 1, Faculté de Chirurgie Dentaire, Rennes
2 Faculté de Chirurgie Dentaire, Rennes
3 Université Rennes 1, Inserm, LTSI – UMR 1099, Rennes
Objectifs : cette étude consiste à évaluer la capacité des logiciels Webceph, Vatech, et Logos à repérer automatiquement les points céphalométriques et à établir des mesures fiables. La précision des mesures céphalométriques automatique (A) et semi-automatique (SA) est établie, par rapport à la référence manuelle (M) Geogebra. Matériels et méthodes : 70 téléradiographies de profil sont sélectionnées aléatoirement et analysées par les 3 méthodes (A, SA, M). Sur chaque cliché, 13 points céphalométriques sont repérés pour la réalisation de 16 mesures squelettiques et dento-alvéolaires (13 angulaires et 3 linaires). Un test t de student (ou de Wilcoxon en cas de distribution anormale des données) a été réalisé pour mesurer les biais systématiques. Le coefficient de corrélation de Lin (CCC) complété par les plots de Bland-Altman est utilisé pour évaluer la concordance entre les méthodes.
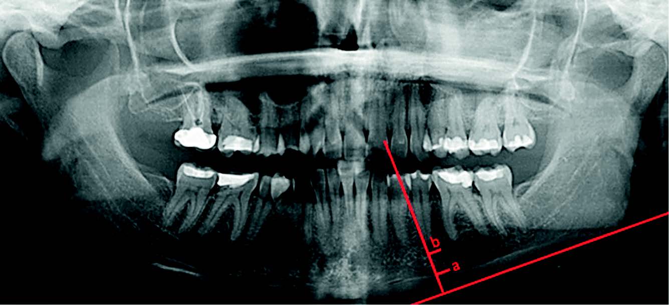
Densité osseuse et radiographie panoramique : incidences orthodontiques

représentation de l’épaisseur corticale mandibulaire (a) et de l’indice mandibulaire (a/b).
Chirurgien-Dentiste Master Universitaire et Résidence clinique Européenne en Orthodontie (Espagne) Pratique privée en Orthodontie, L’Arbresle
Introduction : le panoramique dentaire tient une place prépondérante dans l’investigation radiologique et le diagnostic en orthodontie. Les examens 3D comme le CBCT font office de gold standard dans l’étude de la qualité osseuse mais tous nos cabinets n’en sont pas encore équipés. Par sa simplicité d’utilisation et d’analyse le panoramique dentaire est quant à lui présent dans l’immense majorité de nos cabinets. Par des outils simples applicables sur un cliché panoramique il est possible d’obtenir une évaluation préliminaire de la densité osseuse. C’est dans ce contexte que nous avons souhaité étudier la densité osseuse sur panoramique et en connaître les intérêts dans notre pratique quotidienne.
Autotransplantation d’une dent surnuméraire en place d’incisive géminée, une décision thérapeutique construite

simulation d’avulsion de la 21, présentation de l’anatomie de la 11*, et visuel d’auto-transplantation de la 11* en place de la 21.
1 Ancien interne CHU Rennes
2 Assistant hospitalo-universitaire CHU Rennes, activité libérale Avranches
3 PU-PH CHU Rennes
L’intérêt de cette présentation d’un cas clinique réside dans la prise en compte des données de la littérature pour établir des choix complexes ainsi que pour utiliser des technologies numériques innovantes.
La malocclusion de ce patient est caractérisée par des rapports molaires de classe III d’Angle complète mais avec un surplomb incisif quasi normal sans compensation dentaire. L’équilibre squelettique est hyperdivergent avec une tendance à la classe III. L’encombrement à l’arcade mandibulaire est très marqué… Ce qui caractérise le plus ce patient, c’est la présence d’une incisive surnuméraire en position vestibulaire (11*) devant l’incisive latérale droite (12), une anomalie de forme de l’incisive centrale maxillaire gauche (21) et l’absence compensée des premières molaires maxillaires.
Comparaison de la forme des arcades entre les différentes options thérapeutiques orthodontiques des agénésies des incisives latérales maxillaires

le dessin de la forme d’arcade individuelle sur le modèle utilisant l’option « Dental Arch Analysis ».
1 Docteur en chirurgie dentaire- Université Saint Joseph Beyrouth Liban
2 Département d’Orthodontie, Faculté de Médecine Dentaire, Université Saint-Joseph, Beyrouth, Liban
Introduction : l’agénésie dentaire est une anomalie fréquemment rencontrée dans la pratique quotidienne, d’où la nécessité de la diagnostiquer pour une meilleure prise en charge. L’incisive latérale est la dent la plus fréquemment agénésique au maxillaire. Il faut connaître les répercussions de cette agénésie sur le maxillaire, de plus il faut comprendre les options thérapeutiques, que ce soit un traitement par fermeture ou par ouverture d’espace de l’agénésie, pour qu’on puisse adopter le traitement optimal. Les différentes stratégies de traitement des agénésies des latérales maxillaires peuvent avoir des répercussions sur les dimensions transversales de l’arcade ainsi que sur la forme d’arcade.
Impact et limites du recul molaire par l’utilisation d’ancrages osseux temporaires à la mandibule sur les germes des dents de sagesse : étude rétrospective tridimensionnelle

Mesures des positions molaires au CBCT, a : distance entre les cuspides mésiovestibulaires (CMV) des 6, 7, 8 et le plan sagittal ; b : distance entre les CMV des 36-46 et le plan horizontal ; c : distance entre la CMV de la 7 et le plan coronal.
1 Docteur en Chirurgie Dentaire, DIU Orthopédie Dento-Cranio-Maxillo-Faciale, Paris Sorbonne.
2 AP-HP, Groupe hospitalier Universitaire AP-HP Sorbonne Université, Service de chirurgie maxillo-faciale, Paris.
3 Arts et Métiers Sciences et Technologies, Institut de Biomécanique Humaine G. Charpak, Paris
4 Docteur en Chirurgie Dentaire, SP ODF/CECSMO, Ancienne AHU à Bordeaux Attachée aux facultés de Bordeaux et Nancy, Exercice libéral à Brive la Gaillarde.
5 PU PH MD PhD, APHP, Hôpital Pitié-Salpêtrière, Paris
Introduction : le recul molaire à la mandibule est un mouvement complexe à réaliser avec pour difficulté d’effectuer le mouvement en translation et non en version. Son indication est multiple et facilitée par l’utilisation d’ancrages osseux temporaires (minivis) : redressement de l’incisive mandibulaire pour les classes II (préparation chirurgicale ou non), cas de classe I avec biproalvéolie (éviter les extractions) ou en cas de classe III avec classe I squelettique. L’objectif de notre étude est d’évaluer l’impact du recul molaire sur les germes des dents de sagesse, la quantité et la qualité du recul, et d’évaluer les limites.
L’expansion maxillaire avec ancrage osseux chez l’adulte : description et cas clinique

hybrid Hyrax (dispositif initial dont l’évolution est le Quadexpander).
Chirurgien-Dentiste, Diplôme Inter-universitaire d’orthopédie dento-cranio-maxillo-faciale, exercice d’orthodontie exclusive, Lons
L’objectif est de présenter dans un premier temps l’expansion maxillaire par ancrage osseux en décrivant trois dispositifs puis dans un deuxième temps, de montrer un cas clinique avec un traitement sans chirurgie d’un patient de 18 ans présentant une insuffisance maxillaire transversale et postéro-antérieure et une infraclusion antérieure. Le patient fût traité par disjonction rapide inter-maxillaire à appui dento-squelettique, traction postéro-antérieure du maxillaire et multiattaches. L’ancrage squelettique a permis une correction de l’insuffisance maxillaire, de l’occlusion inversée et de l’infraclusion.
Influence de différents paramètres sur le choix de la contention post traitement orthodontique au Liban – une enquête transversale
Université Saint-Joseph, Département d’Orthodontie Beyrouth, Liban$
Introduction : la contention orthodontique est une étape du traitement orthodontique permettant de garantir la pérennité du résultat obtenu après la fin de la phase active du traitement. La contention peut avoir lieu à travers plusieurs dispositifs et peut suivre plusieurs protocoles. Le plus souvent, le choix de dispositif et/ou protocole de contention dépend des préférences de chaque orthodontiste. Il est donc important d’identifier les facteurs contribuant aux préférences de ces derniers. Matériels et méthodes : un questionnaire de 21 questions a été envoyé aux orthodontistes libanais faisant partie de la Société Libanaise d’Orthodontie. Le questionnaire est réalisé sur « Google Forms ». Les adresses emails des participants ont été recueillies afin d’éviter les réponses doubles; l’anonymat des réponses est toutefois garanti. Les questions ont été posées afin d’évaluer l’influence de 3 différents facteurs sur le choix de la contention post traitement orthodontique de chaque orthodontiste et identifier le type de fil de contention le plus employé au Liban. Les facteurs sont : le lieu des études orthodontiques, l’anomalie orthodontique initialement présente avant le début du traitement et le nombre d’années d’expérience en tant qu’orthodontiste. Le test du Khi2 a été employé pour évaluer l’existence d’associations statistiquement significatives. Les réponses ont aussi été recueillies pour pouvoir identifier les protocoles et appareils de contention les plus employés au Liban.
Note clinique: Apport de la réduction amélaire proximale à l’équilibre du sourire
PU-PH CHU Rennes
Revue de Presse
SQODF