dentisterie adhésive

Que l'on souhaite se perfectionner ou se spécialiser en dentisterie adhésive, le choix d'une formation...

composite

Pour le Dr Marin Pomperski, l'aptitude au polissage est un des paramètres importants d'un composite....

L'intégration esthétique de nos restaurations est un élément primordial dans le succès des traitements. La...

Présentation d'un cas de réhabilitation esthétique s'appuyant sur l'outil de smile design 3D et la...

Présentation du plan de traitement, de l'analyse numérique à l'acte technique, en passant par l'analyse...

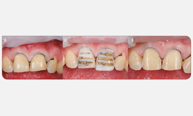
Le modelage de ce composite permet une bonne adaptation....

Pas à pas d'une restauration alliant esthétique et simplicité....

Les restaurations directes permettent de redonner une harmonie au sourire et s'avèrent particulièrement intéressantes notamment...

Un résultat esthétique très satisfaisant peut être obtenu avec un système de collage simple d’utilisation...

La dens evaginatus est une anomalie morphologique relativement rare qui touche la couronne dentaire....

Les techniques de biomimétisme offrent un renouveau dans la prise en charge des patients souffrant...

La pose de facettes céramiques usinées collées peut être facilitée par un logiciel 2D d’analyse....

Présentation d’un plan de traitement esthétique appliquant le concept d’érosion-infiltration en profondeur....

Cette formation théorique et pratique a été spécialement conçue pour les chirurgiens-dentistes....

Ce rapport de cas présente les étapes d’une restauration avec une couronne vitrocéramique maquillée en...

Pas à pas d’une approche réparatrice simple, rapide, prévisible et peu coûteuse....

Correction minimalement invasive guidée d’incisives centrales maxillaires asymétriques à l’aide d’un système de stratification....

Le cas présenté, associant éclaircissement ambulatoire, micro-abrasion et réalisation d’un composite stratifié, allie simplicité et...

La prédictibilité et l’évaluation des risques orientaient ce challenge vers une procédure en deux temps...

Choix du matériau, de la teinte, puis collage minutieux : pas à pas pour des...

Les protocoles de restauration de l’usure dentaire visent à rétablir la santé, la fonction et...

Démonstration d'une restauration minimalement invasive au moyen de facettes prothétiques avec un matériau d'obturation à...

Le Dr Ali SALEHI Thérapeutique fiable et durable, les facettes en céramique permettent une approche...

De par ses multiples répercussions, aussi bien esthétiques que fonctionnelles, l’amélogénèse imparfaite est une pathologie...

Prof. Dr Claus-Peter ERNST Jusqu’à présent, le conditionnement des restaurations en vitrocéramique consistait à mordancer...

Dr Jean-Michel MEYER Comment assurer la perennité d’une restauration adhésive ? Conseils pour la fiabilité...

Dr Yassine HARICHANE Depuis la fermeture des bars à sourire, le grand public recherche un...

Dr Martin VON SONTAGH C’est le matériau de choix pour la fermeture de diastèmes ou...

des Drs Gauthier WEISROCK, Sonia MANSOUR et Hugues De BELENET Même dans le cas d’une...

Dr Yassine HARICHANE Peu de praticiens ont recours aux restaurations en technique semi-directe par méconnaissance...

Dr Gil Tirlet, Hélène et Didier Crescenzo Quel matériau céramique choisir pour répondre à la...

Le Dr Evangelos GIMOUSSIAKAKIS Comment réaliser une implantation esthétique et minimalement invasive dans le cas...

Voici une approche thérapeutique « biomimétique » qui, selon les auteurs, représente l’avenir de la...

La plus grande tendance en dentisterie restauratrice que nous voyons en ce moment est probablement...

Parmi les différentes techniques d’éclaircissement, le traitement ambulatoire par le port de gouttières thermoformées est...

Dr Claude FINELLE Grâce à la recherche, les matériaux de collages et les composites ont...

Lorsque des pièces prothétiques sont envisagées sur plusieurs dents, le recours à une méthode indirecte...

Comment utiliser au mieux les résines composites en dentisterie restauratrice ? Ces matériaux sont les...

Une restauration réussie nécessite une approche conservatrice de la préparation, mais également une technique d’obturation...

Grâce aux progrès constants des matériaux composites et des techniques d’adhésions, nous pouvons proposer des...

L'émail dentaire est un tissu fortement minéralisé. Cependant, quelles sont les solutions actuelles pour obtenir...

Comment gérer la reprise de forme sur dents vivantes dans un but essentiellement esthétique ?...